Skip to main content

Search

Search Toggle Button
Home Sonosite logo Print logo
Menu

Main menu

  • Products
    • Ultrasound systems

      Sonosite LX
      Sonosite LX
      Unmatched frequency range
      Sonosite ST
      Sonosite ST
      Procedural Partner
      Image
      Sonosite MT
      Sonosite MT New
      Built to move
      Sonosite PX
      Sonosite PX
      Flexible hybrid
      Sonosite SII
      Sonosite SII-VA
      Intelligence, Inspired by You.
    • Discover Products
    • Sonosite MT New
    • Sonosite LX
    • Sonosite PX
    • Sonosite ST
    • Sonosite SII
    • Sonosite PIV Assist New
    • Ultra-High Frequency New
    • Transducers
    • Accessories
    • Sonosite Voice Assist
    • Synapse Synchronicity
  • Education
    • Learn
    • Clinical Images & Videos
    • Conferences & Society Meetings
    • Sonosite Institute
    • Webinars
    • On-demand webinars
    • Educational Resources
  • Support
    • Biomed Service Training
    • Cleaners and Disinfectants
    • Connectivity
    • Contact Support
    • Dealers & Support Staff
    • FAQ
    • Product Retirement
    • Reimbursement
    • Security
    • Symbols Glossary
    • User Documents
    • Warranty and Service
  • About
    • Why Sonosite
    • Global Health Program
    • Leadership Team
    • Press Releases
    • What is POCUS?
    • Careers
  • Blog
  • Contact Us
Sonosite logo Sonosite print logo

Clinical Images & Videos

Breadcrumb

  1. Home /
  2. Education /
  3. Clinical Images & Videos
iViz L38 - Elbow 8576
iViz L38 - Elbow 8574
SII rP19 - Cardiac Apical 4 Chamber 8554
SII rC60 - IVC with M-Mode 8552
SII L25 - Interscalene 8550
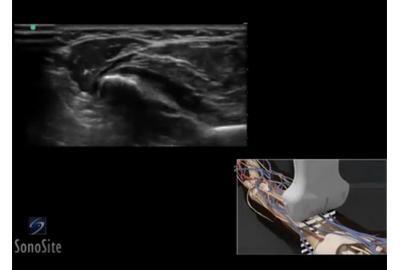
SII L25 - Wrist Tendonitis 8548
SII HFL50 - Supraspinatus Rotator Cuff Tear 8546
SII HFL50 - Median Nerve Forearm 8542
SII HFL50 - Interscalene 8540
SII HFL50 - Supraspinatus 8538
SII HFL50 - Supraspinatus 8536
SII HFL50 - Patellar Tendon 8534
SII HFL38 - Supraspinatus 8532
SII HFL38 - Supraspinatus 8530
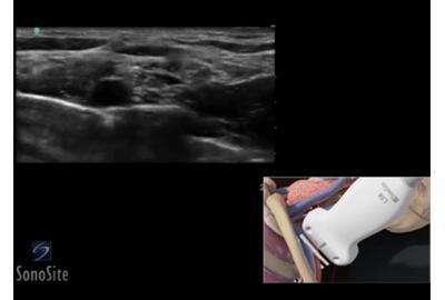
SII HFL38 - Elbow 8528
SII rC60 - RUQ 8526

Pagination

  • First page « First
  • Previous page ‹‹
  • Page 1
  • Page 2
  • Page 3
  • Current page 4
  • Page 5
  • Page 6
  • Page 7
  • Page 8
  • Page 9
  • …
  • Next page ››
  • Last page Last »

Index of all Clinical Media images

Main menu

  • Products
  • Education
  • Support
  • About
  • Blog
  • Contact Us

Subscribe To Our Mailing List

Subscribe

Contact info

 

FUJIFILM Sonosite, Inc.
21919 30th Dr. SE
Bothell, WA 98021
United States

  •  
  •  
  •  
  •  
  •  

FUJIFILM Sonosite, Inc. the Sonosite logo and other trademarks not owned by third parties are registered and unregistered trademarks of FUJIFILM Sonosite, Inc. in various jurisdictions. All other trademarks are the property of their respective owners. 

© 2026 FUJIFILM Sonosite, Inc. All Rights Reserved.

Fujifilm Policies Footer

  • Privacy Policy
  • Modern Slavery Act Statement
  • Accessibility
  • Terms of Use
  • Safety/EMC/Regulatory
  • Patents
  • Products
    • Discover Products
    • Sonosite MT
    • Sonosite LX
    • Sonosite PX
    • Sonosite ST
    • Sonosite SII
    • Sonosite PIV Assist
    • Ultra-High Frequency
    • Transducers
    • Accessories
    • Sonosite Voice Assist
    • Synapse Synchronicity
  • Education
    • Learn
    • Clinical Images & Videos
    • Conferences & Society Meetings
    • Sonosite Institute
    • Webinars
    • On-demand webinars
    • Educational Resources
  • Support
    • Biomed Service Training
    • Cleaners and Disinfectants
    • Connectivity
    • Contact Support
    • Dealers & Support Staff
    • FAQ
    • Product Retirement
    • Reimbursement
    • Security
    • Symbols Glossary
    • User Documents
    • Warranty and Service
  • About
    • Why Sonosite
    • Global Health Program
    • Leadership Team
    • Press Releases
    • What is POCUS?
    • Careers
  • Blog
  • Contact Us