Pasar al contenido principal

Search

Search Toggle Button
Home Sonosite logo Print logo
Menú

Main menu

  • Productos
    • Sistemas de ultrasonidos

      Sonosite LX
      Sonosite LX
      Gama de frecuencias inigualable
      Sonosite ST
      Sonosite ST
      Su compañero en las intervenciones, diseñado para la eficiencia.
      Image
      Sonosite MT
      Sonosite MT Nuevo
      Diseñado para el movimiento
      Sonosite PX
      Sonosite PX
      Híbrido Premium
    • Conoce nuestros productos
    • Sonosite MT Nuevo
    • Sonosite LX
    • Sonosite PX
    • Sonosite ST
    • Sonosite UHF 46-20 Nuevo
    • Transductores
    • Accesorios
    • Sonosite Synchronicity
  • Formación
    • Learn
    • Imágenes y vídeos clínicos
    • Conferencias y reuniones de la Sociedad
    • Sonosite Institute
    • Cursos en línea
    • On-demand webinars
    • Recursos educativos
  • Asistencia
    • Formación del servicio biomédico
    • Limpiadores y desinfectantes
    • Conectividad
    • Contactar con el servicio de asistencia
    • Distribuidores y personal de asistencia
    • Preguntas frecuentes
    • Retirada de productos
    • Seguridad
    • Symbols Glossary
    • Documentación de Usuario
    • Garantía y asistencia
  • Acerca de
    • Por qué Sonosite
    • Programa de salud mundial
    • Equipo de dirección
    • Comunicados de prensa
    • ¿Qué es POCUS?
    • Empleo
  • Blog
  • Contacto
Sonosite logo Sonosite print logo

Aprend

Ruta de navegación

  1. Inicio /
  2. Formación /
  3. Learn
VEVO MD UHF 48 - arteria Radial en niño de 1 mes 6564
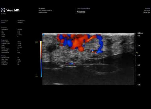
VEVO MD UHF 70 vena Superficial con flujo de color 6568
VEVO MD UHF 70 adultos bajo flujo vena 2D - ver cada célula de sangre pasa por vasos 6570
VEVO MD UHF 70 Superficial vena con bajo flujo en adulto 6572
UHF 48 MHz - válvula de la vena del brazo 6576
VEVO MD UHF 48 intestinal pediátrico 6544
VEVO MD Trx pediátrica esófago - ver mucosa, submucosa, muscularis propria y adventicia 6546
VEVO MD UHF 48 Submental LN - corteza e hilio graso 6550
VEVO MD UHF 48 - arteria Radial adultos con flujo de color 6574
VEVO MD UHF 70 muñeca masa 6554
VEVO MD UHF 48 fantasma con inserción de la aguja 6560
VEVO MD UHF 48 epidermis con gel como un enfrentamiento 6522
VEVO MD UHF 70 Hemangioma Superficial 2D 6548
UHF 48 MHz - tendón rotuliano 6540
Frecuencia ultraelevada 70 MHz - herida Superficial R/O absceso 6532
Vevo MD UHF 70 Sag Superficial Mass with underlying vein and colour flow 6556

Paginación

  • Primera página « Primera
  • Página anterior ‹‹
  • Página 1
  • Página 2
  • Página 3
  • Página actual 4
  • Página 5
  • Página 6
  • Página 7
  • Siguiente página ››
  • Última página Última »

Main menu

  • Productos
  • Formación
  • Asistencia
  • Acerca de
  • Blog
  • Contacto

Suscríbase a nuestra lista de correo

Suscribirse

Información de contacto

 

FUJIFILM Sonosite, Inc.
21919 30th Dr. SE
Bothell, WA 98021
United States

  •  
  •  
  •  
  •  
  •  

FUJIFILM Sonosite, Inc. el logotipo de Sonosite y otras marcas comerciales que no son propiedad de terceros son marcas registradas y no registradas de FUJIFILM Sonosite, Inc. en diversas jurisdicciones. Todas las demás marcas comerciales pertenecen a sus respectivos propietarios.

© 2026 FUJIFILM Sonosite, Inc. Todos los derechos reservados.

Fujifilm Policies Footer

  • Normas de confidencialidad
  • Declaración de la Ley de Esclavitud Moderna
  • Accesibilidad
  • Condiciones de uso
  • Seguridad/Compatibilidad electromagnética/Normativa
  • Productos
    • Conoce nuestros productos
    • Sonosite MT
    • Sonosite LX
    • Sonosite PX
    • Sonosite ST
    • Sonosite UHF 46-20
    • Transductores
    • Accesorios
    • Sonosite Synchronicity
  • Formación
    • Learn
    • Imágenes y vídeos clínicos
    • Conferencias y reuniones de la Sociedad
    • Sonosite Institute
    • Cursos en línea
    • On-demand webinars
    • Recursos educativos
  • Asistencia
    • Formación del servicio biomédico
    • Limpiadores y desinfectantes
    • Conectividad
    • Contactar con el servicio de asistencia
    • Distribuidores y personal de asistencia
    • Preguntas frecuentes
    • Retirada de productos
    • Seguridad
    • Symbols Glossary
    • Documentación de Usuario
    • Garantía y asistencia
  • Acerca de
    • Por qué Sonosite
    • Programa de salud mundial
    • Equipo de dirección
    • Comunicados de prensa
    • ¿Qué es POCUS?
    • Empleo
  • Blog
  • Contacto